Dental Veneers in Sherwood Park

Discover how Granada Dental ensures confidence before you commit—with preview options and long-term guidance built into every cosmetic consultation.

Dental Veneers Sherwood Park

A Personalized Approach to a Confident Smile

At Granada Dental, we know that choosing dental veneers is more than a cosmetic decision—it’s a commitment to how you feel every time you smile. Whether you’re preparing for career opportunities, life milestones, or simply want to feel more like yourself, veneers can be a transformative experience. But we also know this: the decision isn’t always easy.

That’s why we’ve designed our approach around you. With over 30 years of trusted dental care in Sherwood Park, our team delivers solutions that go beyond aesthetics. We combine modern dental technology with personal attention, ensuring you have all the information and support you need—before, during, and long after treatment.

Understanding Veneers: What Are They, Really?

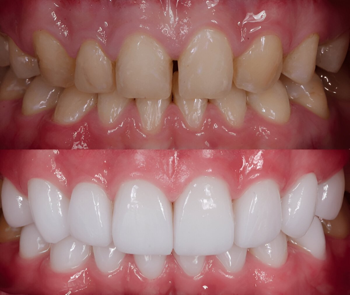
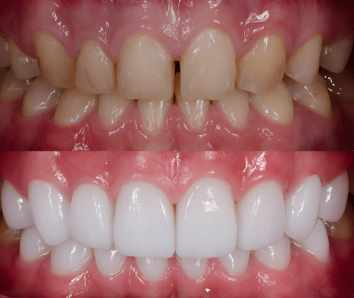
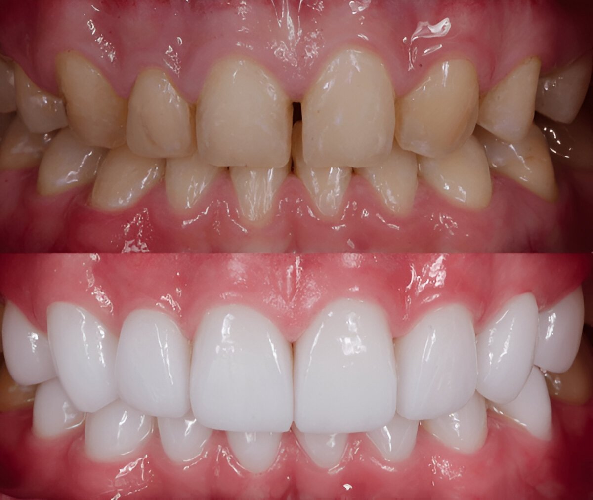
Dental veneers are thin shells—typically made of porcelain or composite resin—that are bonded to the front surface of your teeth. They’re used to correct a variety of cosmetic concerns, including:

  • Discolouration that doesn’t respond to whitening
  • Chips or cracks from wear and tear
  • Uneven spacing or gaps
  • Worn-down or misshapen teeth
  • Mild misalignment

When done properly, veneers offer a natural-looking enhancement that complements your facial features and restores a sense of confidence.

Dental Veneers Sherwood Park

Why Many Patients Are Hesitant (And Rightfully So)

We’ve had many Sherwood Park professionals and families come to us with the same concerns:

What if I don’t like how they look?

Are they really permanent? What happens if I change my mind?

Will they make my teeth more sensitive?

Is this going to be worth the cost in the long run?

These are valid questions, and they deserve real, transparent answers. Let’s walk through how Granada Dental addresses each of these concerns through our patient-first veneer process.

1. Preview Your New Smile Before Committing

One of the most common fears is the permanence of veneers. Patients often wonder, “What if I don’t like how they look after?”

We take the unknown out of the equation.

At Granada Dental, we offer digital smile design previews and temporary mockups to help you visualize your new smile. This gives you the chance to see your results before anything permanent is done. You’ll be able to collaborate with your dentist on the shape, color, and size of your veneers so that they feel completely natural.

By the time your final veneers are placed, there are no surprises—just confidence.

2. Veneers That Look and Feel Like Your Natural Teeth

Let’s face it—no one wants a “veneered” smile that screams dental work. You want something that looks like it belongs to you.

We use high-quality porcelain, known for its ability to mimic the translucency, colour variation, and gloss of natural enamel. Each veneer is handcrafted and custom-matched to your existing teeth and facial structure. We also take into account how your teeth reflect light and how your smile moves when you talk or laugh.

The result? Veneers that blend in so seamlessly, they become a natural extension of your smile.

3. Comfort-Focused Care to Minimize Sensitivity

Yes, veneers require a bit of enamel removal—and that can sometimes lead to temporary sensitivity. But this doesn’t have to be a deal-breaker.

Our preparation process is ultra-conservative. We remove only a minimal amount of enamel, just enough to make room for the veneer. We use precision digital imaging and gentle techniques to keep discomfort at a minimum.

For patients prone to sensitivity, we offer desensitizing treatments and personalized aftercare. Most of our patients report that any sensitivity fades within a few days.

Dental Veneers Sherwood Park
Dental Veneers Sherwood Park

4. Long-Term Value Without the Sticker Shock

Let’s talk value. Veneers are an investment—but when done right, they offer a decade or more of confident smiles. At Granada Dental, we focus on helping you get the most from that investment.

Here’s how we do it:

  • Durable materials like porcelain, designed to last 10–15 years or more

  • Flexible financing options to make the cost manageable

  • Ongoing care and maintenance plans to extend the life of your veneers

We believe you deserve cosmetic treatments that deliver both aesthetic results and functional durability—without financial pressure.

The Process: What to Expect Step by Step

Step 1: Consultation & Smile Planning

We start with a conversation. We’ll discuss your goals, concerns, and evaluate your dental health. Using digital tools, we preview your potential results so you can make informed choices.

Step 2: Preparation & Impressions

A thin layer of enamel is gently removed to make room for the veneers. Impressions are taken and sent to a lab where your custom veneers are created.

Step 3: Temporary Veneers

While your permanent veneers are being made, we place temporary ones to protect your teeth and give you a feel for your new smile.

Step 4: Final Placement

Once your porcelain veneers are ready, we bond them using a light-cured adhesive for a secure, long-lasting fit.

Step 5: Follow-Up & Maintenance

We schedule follow-ups to check comfort, function, and aesthetics—and give you tips on how to care for your veneers for years to come.

Why Choose Granada Dental for Dental Veneers in Sherwood Park?

You’re not just looking for veneers—you’re looking for a dentist who listens, a team that cares, and a result that reflects your personality.

Here’s what sets us apart:

  • Over 30 years of trust serving Sherwood Park and surrounding communities
  • Advanced cosmetic technology, including digital imaging and laser diagnostics
  • Personalized treatment planning focused on transparency and comfort
  • Flexible appointments and direct billing to make visits stress-free

We know what your smile means to you. And we’re here to help you love it even more.

Dentist performing a dental filling procedure on a patient

Ready to Reimagine Your Smile?

At Granada Dental, we don’t just apply veneers. We help you make one of the most important choices about your appearance with full support, no pressure, and results that feel as good as they look.

Contact us today to book your personalized consultation. We’ll walk you through the options, answer all your questions, and help you feel confident every step of the way.

SAY HELLO TO THE SMILE YOU ALWAYS WANTED!
For a limited time, the New Granada Dental is happy to offer its patients our Smile Makeover bundle:

Straighten your teeth discreetly with SureSmile Clear Aligners

Keep your smile bright for life with lifetime teeth whitening

Regular price: $7650 +gst
Granada relaunch price: $4250 +gst